素股

患者服务

健康知识

当前位置: 主页 > 患者服务 > 服务专区 > 健康知识 > 正文

走出肺结节认识误区 让你不再“纠结”

来源:CT室   编辑:    审核:   发布时间:2020-01-03   点击量:   作者:
        去年底,医院一年一度的职工体检正式展开,这次体检首次增加了高端螺旋CT低剂量胸部扫描项目,给广大职工带去了福音。然而很多职工和医生对查出的肺部结节在认识上还有不少误区,让人感到很纠结。如何才能消除这些诊治误区,帮助有结节的职工和医生在认识和管理上不再纠结?我们觉得很有必要给大家科普一下。
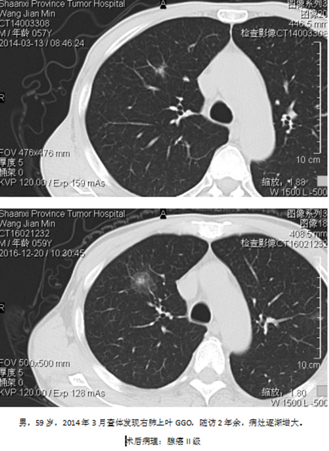
        什么是肺结节?肺部结节通常是指肺内直径小于或等于3cm的类圆形高密度影,依照结节直径,直径<5mm 者称为微小结节,直径为5~10mm者称作小结节。根据结节密度,可分为实性肺结节和亚实性肺结节,后者又包含纯磨玻璃结节(ggo)和部分实性结节(ggn)。可由许多原因引起,如感染、结核、肉芽肿等,也有一部分肺结节是肿瘤或癌前病变。虽然肺结节不等于肺癌,但是要判断它的性质也是很困难的。2017年美国fleischner肺结节指南建议肺结节患者最好在多学科门诊就诊,由多学科专家根据病人的具体情况制定个体化诊治方案。除了寻求专业帮助外,如果有肺结节的困扰,在看待和处理它的时候,我们建议:
        1、思想上要重视,定期复查
        肺结节,往往没有任何咳嗽、咯痰、胸闷、憋气等症状,因此,发现肺结节之后不予重视,很乐观,有侥幸心理,认为既然绝大部分肺结节都是良性的,自己也不一定会成为小概率事件,常常有人因为出现了症状才去就诊复查,事实上,虽然肺癌是肺结节的小概率事件,但对于个体而言,却是“无”或“100%”,很多肺结节并不能从单次的影像学结果中准确判断良恶性,往往需要多次的复查、随诊。因此,建议肺结节患者首先要到专业科室就诊,然后遵循专业意见定期复查、随诊。定期复查,并非频繁的复查,肺结节本身有它的生长规律,过多地复查,无论剂量再低,也会增加X线辐射剂量。

 

        2、关于PET-CT的检查

        PET-CT检查对纯磨玻璃密度结节,或者实性成分≤8mm的部分实性结节的良恶性判断几乎没有任何帮助。而且,PET-CT检查相对来说辐射剂量较大,价格也相对高昂,因此,我们不建议肺结节患者盲目地进行PET-CT检查,而是要遵循会诊意见,有必要的时候再做。

        3、担心X线辐射

        目前,素股 使用的是GE Revolution型螺旋CT机,检查胸部它的总辐射暴露剂量约为1.08mSv,大约是普通CT辐射剂量的1/20。参考国际辐射防护委员会(ICRP)的数据,每年在20mSv以下都是安全的。所以,肺结节的低剂量CT复查随访是必要的,也是安全的。我们生存的自然空间里本来就存在很多来自宇宙的辐射,这种天然辐射源对成年人造成的年平均有效辐射剂量约为2.4mSv(1~3mSv)。

        4、关于吃药消炎问题

        我们不建议盲目吃药消炎。抗生素只能治疗急性细菌感染引起的炎症,而绝大多数存在时间较长的肺结节并不能通过抗生素来消除,盲目应用抗生素无助于肺结节的治疗,反而增加不必要的副作用。

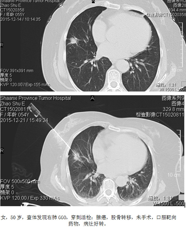
        5、CT定位穿刺活检

        这是一个具有争议性话题,有人不建议,认为并发症多,阳性率率低。我们认为,要看病灶的大小,部位,具体的病灶具体对待,不能一概而论。CT定位穿刺活检可以确定病灶的良恶性,对指导治疗是很有益的。
       穿刺案例:
 
        6、心态很重要

        查体查出肺结节后,整日焦虑,惶恐,心神不定,拿着片子到处问医。对于这类患者,首先要保持一个良好的心态,查出的只是几毫米的小结节,而早期肺癌的诊断标准是病灶在2cm以下,没有转移,那么换句话说,即就是肺癌也是早期的,也是可以治愈的,无需焦虑烦躁,要调整心理,焦虑和惶恐改变不了命运,与其这样还不如保持良好的心态正确面对所发生的一切。

        希望这篇文章能让大家理性看待肺结节,帮助更多受肺结节困扰者正确认知,科学管理,既减少对良性结节的过度治疗,又提高肺癌的早期检出率并进行合理的治疗,让大家不再纠结困惑。( CT室  赵学武 薛龙梅)