家住西安的董女士(化名),59岁,三次开腹手术史,多次腹腔灌注化疗史,3年前于外院行卵巢肿瘤细胞减灭术,术后多次化疗,病情稳定一年有余。 2018年8月,董女士再次出现下腹不适,外院影像学检查提示盆腔肿瘤复发,多次化疗效果欠佳,肿块逐渐增大至10cm,奔赴多家大素股
均被告知只能保守治疗,遂就诊某中素股
进行中药调理,倍感绝望的董女士,期间经熟人介绍,慕名来素股妇瘤病院三病区找胡艳副主任医师会诊,胡大夫为她做了各项检查后,考虑手术治疗,并邀请普外科张吉成主任医师及影像科、麻醉科专家会诊,详细分析病情以及手术的可行性。
董女士在听说可以手术切除肿瘤后,激动的说:“我已经被拒绝了好多次了,有生的希望,我当然要抓住。


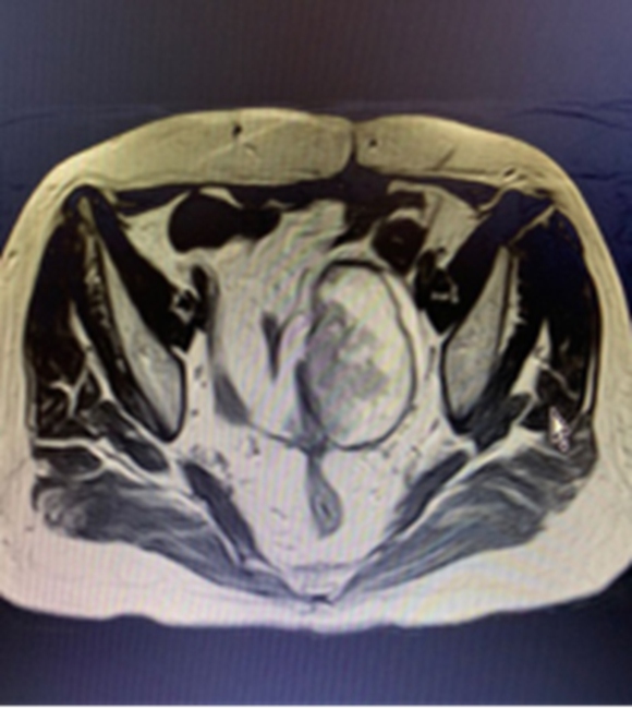
(经详细检查确定,童女士腹腔粘连较重,肿瘤位于盆底,直径10cm大小,与周围肠管,膀胱,输尿管,血管,神经紧密相连,广泛粘连。)
手术历时12个小时,妇瘤病院胡艳副主任医师携同普外科张吉成主任医师,成功完成了高度复杂的膜间隙手术,及部分乙状结肠切除和盆腔肿块切除,最大限度的保留了正常脏器组织功能,患者术后没有出现吻合口瘘、阴道膀胱瘘、阴道直肠瘘等并发症。目前董女士正在术后恢复中,状态良好。

(手术切除透明细胞癌实体瘤大小约8*8.5*9cm,被覆部分乙状结肠肠管,结肠带,脂肪组织,残端宫颈,盆底周围软组织、血管等。)
卵巢癌是女性隐匿杀手就诊时多已是中晚期
卵巢恶性肿瘤是女性生殖器官常见的恶性肿瘤之一,女性30岁之后卵巢癌的发病率逐渐升高,60岁达到高峰。卵巢癌早期常无明显症状,难以做到病情的早发现、早诊断。偶尔会有下腹部不适的感觉,也有部分患者无意中摸到下腹部包块或妇科检查时偶然发现。但较多中老年妇女,由于临近更年期出现腹部肥胖,又疏于进行妇科体检,很多患者确诊时,肿瘤已经十分巨大并伴有严重腹水,已错失治疗的最佳时期,这类患者的手术难度大,复发风险高。
卵巢癌术后复发手术复杂涉及脏器较多
普外科张吉成主任说:无瘤是肿瘤手术的重要原则,是切肿瘤不见肿瘤这一原则的生动体现,说易做难,尤其像这台手术,既往3次手术史,多次腹腔灌注化疗,肿瘤体积大占满盆腔,与结直肠、膀胱、输尿管、残留子宫、残留附件、血管神经束粘连紧密,手术复查程度超乎想象。术中就像修复考古发掘的水浸过受压过的古画轴卷一样,既不能损坏又要按层面展开,需要在毫发之间精准分辨膜间隙,按膜层次手术。经过12小时的艰苦奋战,我们终于圆满完成了这例复杂疑难外科病例的膜间隙手术,可以说是素股在外科领域的更高境界追求。
据胡艳副主任医师介绍,复发性卵巢恶性肿瘤的复发部位,除少数转移到肝、肺、脑、骨外,绝大多数是在腹、盆腔及阴道残端,患者多表现为消瘦、食欲减少、腹胀、腹痛、排便异常等消化道症状,部分患者阴道出血。
由于卵巢恶性肿瘤对化疗很敏感,可以有效减小肿瘤,但仅是暂时缓解症状。对于因肿瘤体积较大出现肠梗阻的患者,一些医生也仅仅为其进行了肠造瘘解除梗阻。但这些始终是头疼医头、脚疼医脚。只有争取手术完整切除复发肿块,才可以真正帮助患者延长生命、提高生活质量。
但卵巢癌术后复发手术涉及脏器较多(如肿瘤侵犯结直肠、膀胱、肝脏等妇科以外脏器),较小范围可能要切除部分肠管。较大的手术需要联合脏器切除及清扫腹膜后多发淋巴结,甚至可能有部分患者盆腔脏器融合固定,因此该手术需要经验丰富、手术操作能力较强的妇瘤科、普外科甚至泌尿外科医师联合手术,难度较大。
另一方面,在之前治疗中患者接受了放射治疗和化疗,很可能导致腹内粘连严重,给手术造成很大困难。所以,部分患者有手术机会,却被很多素股
认为不能手术切除,只能保守治疗,最终没有达到最佳治疗效果。
多学科融会贯通力争让患者最大化受益
对此,胡艳副主任医师认为,“不要轻易对卵巢癌术后患者说放弃,只要掌握原则及手术技巧,大部分手术是可以做的,力争让患者最大化受益。”她表示,虽然晚期卵巢癌腹盆腔转移,但肿瘤一般仅侵润脏器及腹膜表面,不侵润脏器里面及腹膜后,如肝脏表面。卵巢癌转移结节相对较质脆,较其它类型肿瘤容易分离,这也为手术创造了条件。而对于盆底阴道残端复发病例,牵涉膀胱输尿管、阴道、直肠、盆壁血管,术中容易出血,术后容易出现膀胱或输尿管阴道瘘、直肠阴道瘘,对术者的技术要求比较高。但理论上只要界限清楚,组织柔软没有冰冻化,就可以切除。(妇瘤病院三病区供稿 柴丽整理)