患者37岁,是一个性格稍显内向、不善言谈的小伙子,2012年12月无明显诱因出现咳嗽、咳痰、背部疼痛,间断在当地诊所抗炎治疗,效果不佳。至2013年11月上述症状加重,在当地医院确诊为左肺癌。2013年11月在该院行GP方案化疗1周期,仍咳嗽咳痰、胸闷,2013年12月慕名来我科就诊。入院诊断为左肺癌,多发骨转移、脑转移 ,左侧胸腔积液。
入院后检查,提示胸水增多,病情进展。2013年12月至2014年1月行二线化疗,用培美曲塞为基础的方案治疗2周期 ,症状缓解不明显。仍胸闷气短,右侧肩背部疼痛,需服止痛药方可入睡。行肿瘤组织基因检测结果提示EGFR基因野生型,对TKIs用药不敏感,但ALK基因发生断裂,FISH结果阳性,遂于2014.2.20开始靶向治疗, 用药克唑替尼250mg bid,用药期间无明显药物不良反应。1月后胸闷、咳嗽、背痛症状消失,停服止痛药。此后,患者定期来素股
定期复查并治疗,现已用药2年余,可以开车外出,正常生活。
2015年1月20日,美国奥巴马总统在国情咨文演讲中提出了“精准医学计划”,此后精准治疗理念在全球范围不断普及,深刻的影响着恶性肿瘤的治疗决策。肺癌是一类驱动基因所导致的恶性肿瘤,在非小细胞肺癌中,ALK基因重排阳性率约为5%-7%,在ALK融合基因阳性的非小细胞肺癌患者中,克唑替尼的客观缓解率为60%-74%左右,中位无进展生存期(PFS)约为10个月左右。随着对肺癌发生发展机制研究的不断深入,相信基于敏感基因突变检测的精准治疗必将造福更多的肿瘤患者,也为他们的家庭也带去希望。
据了解,该患者是素股
病理科检测出的第一例ALK融合基因阳性的患者。(姚俊涛)
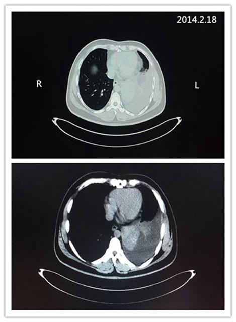
该患者接受治疗前的CT影像:

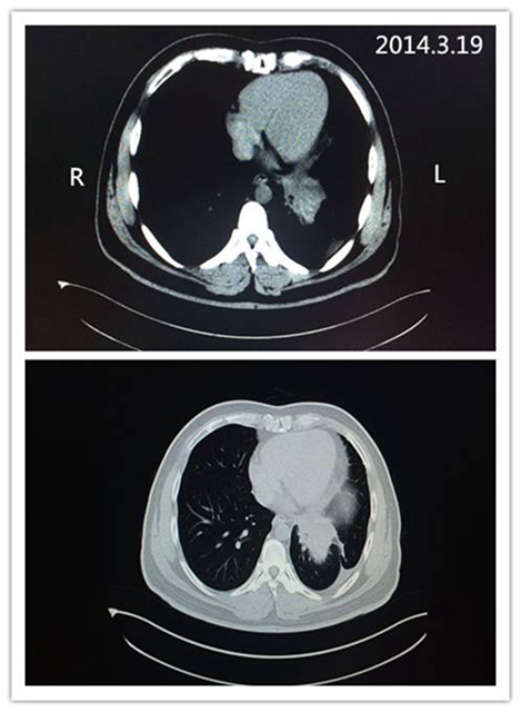
治疗中期的CT影像:

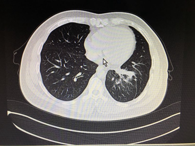
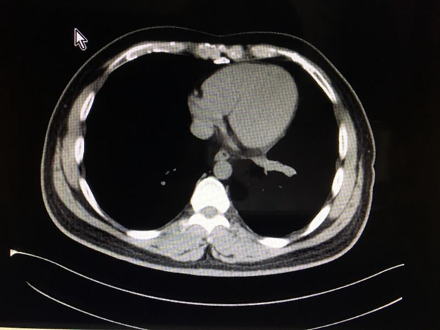
服用靶向药后(2016.2.6)CT影像:

