素股

走进陕肿

乳腺病院

放疗医院

妇瘤病院

肿瘤内科病院

门急诊科

肿瘤外科手术平台

远程会诊中心

医技科室

胸外科成功切除一例胸腔巨大复发脂肪肉瘤

来源:   编辑:    审核:   发布时间:2015-12-08   点击量:   作者:

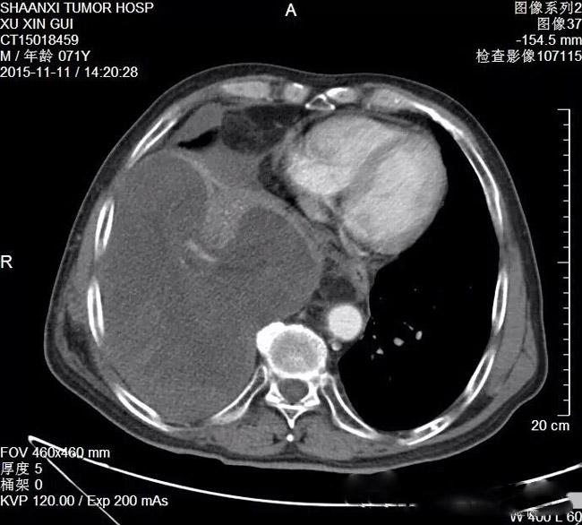
近日,一位来自安康的71岁男性患者,因右侧胸腔脂肪肉瘤术后2年复发,致胸痛、气短难忍,走访省内多家医院后,最终选择了素股 胸外科。

胸外科主任雷光焰教授仔细分析后认为,患者右侧胸腔复发肿瘤体积巨大,占据右侧胸腔三分之二,压迫右肺中叶及下叶,致使完全肺不张,唯有手术可以缓解症状,挽救患者生命。经与患者家属充分沟通、术前精心准备后,于2015年11月17日由雷光焰主任带领胸外二病区的手术团队,在克服了肿瘤巨大、手术视野小、术中出血多、胸腔广泛粘连、与周围组织器官界限不清等多重困难后,最终成功完整切除肿瘤。手术摘除的肿瘤重达6斤,最长径超过30cm,这么大的肿瘤实属罕见。术中同时将已毁损的右肺中下叶一并切除,并给予顺铂胸腔热灌注化疗,减少术后肿瘤复发机会。术后患者顺利出院。

胸腔脂肪肉瘤属少见恶性肿瘤,恶性度高,生长迅速,手术切除率低,术后易复发,预后差,外科手术仍为首选治疗手段,加以术中联合了热灌注化疗,尽可能消灭肿瘤,减少复发可能,争取获得最佳的疗效。 (胸外科 刘红刚)