素股

素股动态

学术动态

当前位置: 主页 > 素股动态 > 学术动态 > 正文

胸外科顺利完成右主支气管下壁及右肺中下叶切除+保留右肺上叶的支气管瓣修补隆突成形术

来源:胸外科   编辑:    审核:   发布时间:2016-06-28   点击量:   作者:
      素股 胸外科二病区顺利完成右主支气管下壁及右肺中下叶切除、保留右肺上叶的支气管瓣修补隆突成形术,手术过程顺利,现术后患者随访5月生存质量良好。
      患者53岁男性,病理活检诊断为右主支气管下壁及右下肺外周双源癌。经科内讨论,患者虽N2淋巴结肿大,并且双源病灶位置特殊,手术难度大,术中、术后风险较高,但年龄不大,手术价值大,有望获得较好预期生存,可以新辅助化疗后再手术治疗。经新辅助化疗2周期,双源病灶和N2淋巴结均明显缩小。从科主任到主管医生和全科都予以高度重视,组织了胸外科、麻醉科、重症医学科和护理部参加的重大手术术前讨论,对病变的精确切除、术中支气管瓣的设计、隆突成形设计、术中冰冻确保切缘阴性、术中相关科室配合、术后监护护理及可能的情况进行了讨论,对手术的复杂性及困难点给予充分评估。
     于1月15日由雷光焰主任、吕卫东副主任等医生为该患者进行了手术,术中探查发现,右胸腔无积液、局部粘连,右肺下叶局部皱缩、内陷,肿瘤位于右下叶外周,大小约3×2×2cm,质地偏硬,活动度好,未侵透脏层胸膜,另外右主支气管下缘管壁厚,肺弹性尚可,4区见肿大淋巴结,无融合趋势,遂决定按计划行右主支气管下壁及右肺中下叶切除+保留右肺上叶的支气管瓣修补隆突成形术,保留右上叶及右主支气管上半部分,去除右中、下叶及右主支气管下半部分,直至隆突,将带上叶的剩余右主支气管反折后与隆突做连续往返缝合,试水,无漏气,右上叶通气良好,重建满意。手术过程顺利,术后顺利恢复出院,术后来院复查良好,并给予辅助化疗。

    右主支及右下叶癌(双源)临床少见,相似的病人一般要做右全肺切除术。右主支气管肿瘤切除+保留右肺上叶的支气管瓣修补隆突成形,手术操作难度大,风险高,国内未见报道。本例手术的成功开展,保留了右上肺叶及功能,改善了此类患者的生存质量,标志着素股 胸外科对此类复杂手术技术更加成熟。(胸外科 张新伟)

A.术前肿瘤部位示意图;
B.切除重建后示意图;
蓝色线为Prolene缝合线。
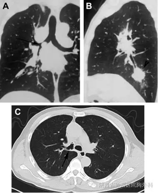
A.术前CT冠状图,箭头示右主支气管肿瘤;
B.术前CT矢状图,箭头示右下肺肿瘤;
C.术后2月CT横切图,保留的右肺上叶主支气管通气良好。