素股

素股动态

学术动态

当前位置: 主页 > 素股动态 > 学术动态 > 正文

移除心脏上的“哑铃”---素股 胸部肿瘤外科成功实施1例巨大恶性纵隔肿瘤切除手术

来源:胸部肿瘤外科   编辑:柴丽    审核:   发布时间:2024-06-07   点击量:   作者:张新伟

4月下旬,素股 胸部肿瘤外科为1例巨大纵隔肿瘤患者成功实施纵隔肿瘤根治性切除手术。目前患者恢复良好,已顺利出院。

2023年底,来自陕南的48岁魏先生因胸前压痛,就诊当地医院。CT检查结果显示,他的胸腔里竟长了个“哑铃”状巨大肿瘤,压迫心脏,本地医院束手无策,建议魏先生赴素股 手术治疗。

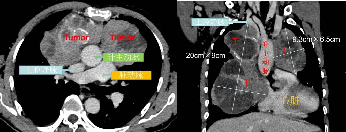
患者在家人的陪同下慕名来到素股 胸部肿瘤外科就诊,随即入院治疗,经CT引导下纵隔肿瘤穿刺活检,病理提示:“纵隔”神经内分泌瘤。胸部增强CT检查提示患者前上纵隔肿瘤大小近18cm×8cm,并成不均匀强化,左无名静脉、上腔静脉明显受压、狭窄,心包受累,心脏受压。如果不及时治疗,瘤体会继续增大,并进一步压迫心脏、大血管、气管等重要脏器,严重影响患者的生活质量,威胁患者的生命安全。

经多学科讨论(MDT)后,建议先行化疗,肿瘤缩小后再评估手术。经3周期化疗后,肿瘤原发耐药,疗效不佳。复查CT发现肿瘤进行性长大,CT提示纵隔肿瘤最大截面“20cm×9cm”。患者心脏及纵隔大血管受压明显,间歇气短症状加重。纵隔神经内分泌瘤部分具有生长迅速、呈恶性生长的特点,若再不接受手术,患者将随时可能出现呼吸和心脏骤停。

时间不等人,胸部肿瘤外科再次组织专家进行多学科讨论,认为巨大的恶性纵隔肿瘤因其位置深,与重要脏器相邻,且与周围组织界限不清,故手术难度和风险都很大,对患者和医护人员而言都是一场挑战。术中,随时可能出现大出血和心跳骤停;术后,也可能出现肺部感染、呼吸衰竭、多器官功能衰竭等严重并发症,为重大手术。张曦主任医师告知患者及其家属手术难度、手术风险及可选其他治疗方案后,家属与患者决定手术。为了能完整切除肿瘤,将手术对患者心肺功能的影响降到最低,胸部肿瘤外科组织第3次MDT讨论,重症医学科、麻醉手术部和胸部肿瘤外科的专家共同确定了手术方案,并制定了全面详尽的突发情况应对措施,以确保患者安全。

手术如期进行,当患者胸骨打开后,发现肿瘤与左无名静脉、上腔静脉、心包、肺动静脉、胸膜以及右肺紧密地粘连在了一起,分离难度极大。张曦主任医师团队凭借着精湛的手术技巧,在麻醉科和输血科的全力支持和密切配合下,历经8个小时,成功为患者切除了两个共重达3kg的巨大纵隔肿瘤。患者术后生命体征平稳,经过重症医学科和胸部肿瘤外科医护团队精心照护,患者术后恢复顺利,看着家里的“顶梁柱”魏先生一天天的好转,亲人的脸上也终于露出了笑容,目前患者已康复出院,家属多次感谢胸部肿瘤外科医护人员精湛技术和悉心的服务。

 

相关链接:

纵隔肿瘤的临床表现多种多样,可以无症状或伴有咳嗽、胸痛和呼吸困难等症状。不同组织来源的肿瘤治疗方案和预后有所不同,一般来说,成人原发性的肿瘤大多是良性的,畸胎瘤、神经源性肿瘤以及胸腺瘤是最常见的类型。对于其治疗,需要根据部位、形态和组织学特点来制定方案,包括手术切除、放疗和化疗等。对于不影响生活质量的较小的良性肿瘤,可以采取密切观察,而肿瘤位置特殊、体积较大或一旦出现症状,应及时就医诊治,积极采取干预措施,避免因忽视而错过最佳治疗时机。