食管可因各种原因引起狭窄,当管腔直径小于12mm时患者即出现呑咽困难症状,留置营养管、胃造瘘及静脉途径可补充营养但不足以提供足够能量危及生命,而且生活质量不高。 ...
心理亚健康是一种处于心理健 康与疾病间的临界状态。这种状态下的人,就像站在悬崖边上,虽然没有明确的心理疾病,但会出现不明原因的脑力疲劳、情感障碍、思维紊乱、恐...
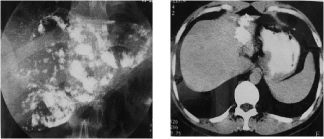
肝海绵状血管瘤为肝脏最常见的良性肿瘤,约占肝脏良性肿瘤的84%,好发于女性,发病率为男性的4.5-5倍。多见于30-60岁。肿瘤90%为单发,10%为多发。肿瘤直径从2mm到20cm...
囊肿是一种常见病,多发病,人体从四肢到躯干,从体表到体内,从软组织到骨骼均可发生囊肿,据初步统计有近50种之多。囊肿轻者影响美观并产生压迫症状,重者影响人体功...
一、BRAF基因简介 Braf蛋白为RAS-RAF-MEK-ERK信号通路中上游调节因子,通过这些信号通路将胞外信号转化为胞内信号,从而有效应对外界的信号刺激,进而调节细胞的生...
一、前言 2015年1月20日,美国总统奥巴马在国情咨文中明确提出了精准医疗计划,从而带动了全球精准医学的发展。精准医疗是随着基因组测序技术快速进步以及生物信息...
2015年8月26日,素股药物临床试验机构办公室举办了“素股 2015年度第二期GCP培训”,这是继今年7月“新版管理制度培训”后,针对SOP的专门培训。有内1科、内2...
8月27日下午,药物临床试验机构办公室在机构办举行了今年第一次“药物临床试验质量和进度报告会”,召集内1科、内2科、内3科、中西医结合科、胸外科和乳腺三病区的主任...
2016年素股共组织申报各类科研项目 33项。其中:2015年国家自然科学基金7项;2015年陕西省中医药管理局中医药科研项目1项;2016年陕西省科技厅自然基金18项; 2016年科...
国家实用新型专利:专利号:ZL 2013 2 0272214.5. 可调节肢体测量装置 乳腺癌是女性最常见的恶性肿瘤之一。乳腺癌术后因为手术方式、瘢痕挛缩、并发症及...